川西为啥不让玩狗?
去川西旅游过的人可能知道,川西部分景区和特定场所确实存在这个限制。
主要是有些游客狼/狗不分,非要上前喂。
这么做的主要出于安全风险防控、人畜共患病防疫以及生态保护的考虑。
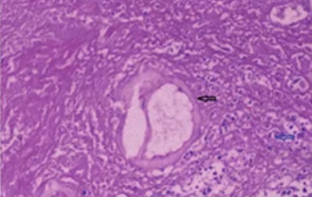
西部和北部农牧区是包虫病等寄生虫病的易发区域,这么做还可以预防包虫病!
而狗是包虫病的主要传染源。
包虫的成虫生活在狗的肠道里,在 30 厘米长的狗小肠内,成虫的寄生数量可高达 3 万余条,每日可排出约 10 万个虫卵。——数据来源:《甘孜日报》
人在接触狗后不洗手就吃东西,就可能误食虫卵,感染包虫病。
